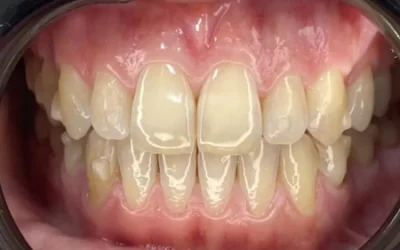
Alignement dentaire au Luxembourg : des aligneurs efficaces
Corriger un alignement dentaire au Luxembourg sans bagues visibles est désormais possible grâce aux aligneurs transparents. Cette méthode discrète séduit de nombreux adultes et adolescents qui souhaitent améliorer leur sourire tout en continuant leur vie quotidienne...
L’importance d’avoir des dents bien alignées
Avoir des dents bien alignées ne se résume pas à une question d’esthétique, un bon alignement dentaire procure plusieurs avantages, il : Facilite et améliore l’hygiène réalisée par le patient. Facilite l’accès aux instruments du dentiste pendant le détartrage. Évite...
Couronnes au Luxembourg : un remplacement efficace et durable
Une dent abîmée ou fragilisée peut causer des douleurs et des soucis d’esthétique. Les couronnes au Luxembourg constituent une option efficace pour protéger et embellir ces dents tout en restaurant leur fonction. Le Dr. Ana Figueiredo intègre souvent ces restaurations...
Prothèse dentaire au Luxembourg : une pose rigoureuse
Perdre une ou plusieurs dents peut rapidement affecter la mastication, la parole et même la confiance en soi. Heureusement, la prothèse dentaire au Luxembourg représente une solution fiable et durable pour restaurer un sourire fonctionnel et naturel. Le Dr. Ana...
Endodontie à Luxembourg Ville : soins d’exception pour la santé de vos dents
Le Dr. Ana Figueiredo, spécialiste en endodontie à Luxembourg Ville, vous propose des traitements de qualité pour soulager la douleur dentaire et préserver vos dents. L'endodontie, aussi appelée traitement des racines ou dévitalisation, est une procédure clé pour...
Implants dentaires à Luxembourg Ville : pourquoi choisir Dr. Ana Figueiredo pour une implantation dentaire ?
Les implants dentaires à Luxembourg Ville sont une solution durable pour remplacer les dents manquantes. Choisir le bon praticien pour cette procédure est crucial pour garantir des résultats optimaux. Le Dr. Ana Figueiredo, expert en implantologie, offre des soins de...
Les prothèses fixes à Luxembourg Ville : une solution esthétique et fonctionnelle pour votre sourire
Les prothèses fixes à Luxembourg Ville sont une solution idéale pour restaurer un sourire esthétique et fonctionnel. Si vous avez perdu une ou plusieurs dents, les prothèses fixes vous permettent de retrouver une dentition naturelle. Elles sont conçues pour offrir à...
Alignement dentaire à Luxembourg Ville : améliorez votre sourire avec le Dr. Ana Figueiredo
Un sourire parfaitement aligné ne se limite pas à un aspect esthétique. Il joue un rôle crucial dans la fonction masticatoire et l’hygiène bucco-dentaire. Le Dr. Ana Figueiredo est une experte de l’alignement dentaire à Luxembourg Ville, proposant des solutions...
Urgence dentaire à Luxembourg Ville : votre solution rapide avec le Dr. Ana Figueiredo
Les urgences dentaires peuvent survenir à tout moment, provoquant douleurs et inconfort. Dans de telles situations, il est essentiel de pouvoir compter sur un professionnel de confiance. Le Dr. Ana Figueiredo, dentiste expérimentée, est disponible pour offrir une...
Facettes dentaires ou blanchiment : quelle est la meilleure option à Luxembourg Ville ?
Votre sourire est une part essentielle de votre personnalité et de votre confiance en vous. Si vous vivez à Luxembourg Ville, vous avez accès à des solutions modernes pour améliorer vos dents. Le Dr. Ana Figueiredo, experte en soins esthétiques, propose des facettes...
Prothèse dentaire à Esch-sur-Alzette : restaurez votre sourire et votre confort avec Dr. Ana Figueiredo
Le cabinet du Dr. Ana Figueiredo propose des solutions avancées en prothèse dentaire à Esch-sur-Alzette. Que vous ayez besoin d'une couronne, d'un bridge ou d'une prothèse complète, Dr. Figueiredo vous guide dans le choix de la solution la mieux adaptée à vos besoins....
Blanchiment dentaire au Luxembourg : obtenez un sourire éclatant avec le Dr. Ana Figueiredo
Un sourire éclatant et lumineux est essentiel pour une confiance en soi renforcée. Le Dr. Ana Figueiredo, spécialiste du blanchiment dentaire au Luxembourg, vous propose des solutions modernes pour restaurer la blancheur naturelle de vos dents. Découvrez comment un...










